校园动态

当前位置: 首页 > 校园动态 > 正文

临床医学院/附属医院骨科顺利开展肩锁关节脱位复位新技术

作者:临床医学院/附属医院 发布时间:2019年11月27日 15:35浏览次数:

    近日,临床医学院/附属医院骨三科团队顺利开展肩锁关节脱位复位新技术。该技术预后好,恢复快,得到了患者及家属的认可。

 

    一名50岁的男性患者,因不慎摔伤致右肩关节肿痛,并伴活动受限4天后来附院求治。入院查体发现患者右肩部肿胀明显,右锁骨远端隆起畸形,局部明显按压出现疼痛,肩部外展活动受限,进行X线检查显示“右肩锁关节脱位”。骨三科医师团队根据患者病情,进行充分商讨,确定了手术治疗方案,决定为患者实施“右肩锁关脱位复位带袢钢板内固定术”。由副主任医师蒋宇平主刀,骨三科手术团队在患者锁骨上方及喙突处各取2cm手术切口,将肩锁关节复位后,使用瞄准器由喙突基底部向锁骨远端建立骨性隧道,最后将带袢钢板由骨道穿出后固定,术中出血仅10ml左右。

 

 

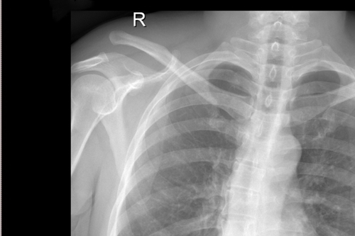
术前DR

 

 

术后DR

 

 

传统手术术后DR

 

    骨三科主任朱述浪表示,近年来,随着生活水平的提高,患者对手术方式、手术效果的心理预期也不断提高。传统手术通过使用锁骨钩钢板来治疗肩锁关节脱位,其固定方式虽牢靠,但手术切口较大,术后极易出现脱钩、肩峰撞击,下骨溶解甚至造成骨折,疼痛发生率非常高,同时,内固定需2次手术拆除,且拆除后存在再脱位的可能。相比之下,带袢钢板内固定术能够有效恢复肩锁关节各方向的稳定性,不但符合肩锁关节生物学特性,还能最大程度地减少患者的创伤,并尽可能达到美容效果。该手术的开展,有望为广大患者提供更安全、更人性化的医疗服务。

 

关闭窗口
联系我们

学校地址:江西省九江市前进东路551号   
Email:jjuxb@jju.edu.cn     邮政编码:332005   
招生电话:0792-8310030 8310031    

Copyright © 2020 九江学院版权所有  备案序号:赣ICP备10004574号  赣公网安备36040202000313

访问统计:您是第位访问者